Dental Clenching: A Way to Improve Body Stability in Subject Suffering From Whiplash Injury. Part 2: Patients with Malocclusion – Juniper Publishers
JUNIPER PUBLISHERS-OPEN ACCESS JOURNAL OF DENTISTRY & ORAL HEALTH
Dental Clenching: A Way to Improve Body Stability in Subject Suffering From Whiplash Injury. Part 2: Patients with Malocclusion
Authored by Maurizio Stefano
Giacomello
Abstract
Aim of this study is analyze the variations on the
postural stability in patients with previous whiplash with different conditions
of dental occlusion. 66 adult patients suffering from masticatory muscles pain
caused by clenching during sleep with previous experience of whiplash were
selected for this study.
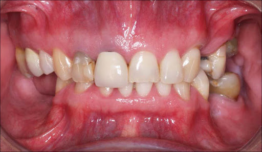
Vestibular or neurologic pathologies, use of prescription drugs or psychotropic substances. The patients have been divided into two groups: 36 adult patients with normal occlusion (good alignment, 1st class or mild 2nd class deep bite for mandibular retrusion) constituted the group A, while 30 adult patients with previous whiplash and malocclusion (cross bite, mandibular shift, bad alignment, edentulous spaces) constituted the group B. To simulate the conditions of sleep (with a reduction of proprio- and esteroceptive inputs for postural management performed by CNS), we used the postural Romberg analysis (feet together, closed eyes) on a stabilometric platform changing occlusal parameters only, under the following conditions:
Vestibular or neurologic pathologies, use of prescription drugs or psychotropic substances. The patients have been divided into two groups: 36 adult patients with normal occlusion (good alignment, 1st class or mild 2nd class deep bite for mandibular retrusion) constituted the group A, while 30 adult patients with previous whiplash and malocclusion (cross bite, mandibular shift, bad alignment, edentulous spaces) constituted the group B. To simulate the conditions of sleep (with a reduction of proprio- and esteroceptive inputs for postural management performed by CNS), we used the postural Romberg analysis (feet together, closed eyes) on a stabilometric platform changing occlusal parameters only, under the following conditions:
1.
in occlusalrest position,
2.
in centric occlusion,
3.
in clenching,
4.
with occlusal disengage with cotton
rolls and
5.
in clenching on cotton rolls 15
seconds.
It was performed a statistical analysis with
T-test comparing between them the mean of all tests.
For more Open Access Journals in Juniper Publishers please
click on: https://juniperpublishers.com
To know more about Peer Review Journal of
Dentistry & Oral Health
To read more… Full text please
click on: https://juniperpublishers.com/adoh/ADOH.MS.ID.555564.php

Comments
Post a Comment